¿Te preocupa el futuro de tus hijos?
Cuidamos de la salud dental de los pequeños y adolescentes con un trato familiar, sin dolor y adaptado a cada etapa de crecimiento.
Problemas habituales de nuestros pacientes:

Miedo a que sus hijos sufran
Algunos niños tienen malas experiencias previas o miedo al dentista. Los padres buscan un lugar donde se sientan seguros y bien cuidados.

Problemas de alineación o mordida
Dientes torcidos, apiñados o mandíbulas que no encajan bien, que pueden empeorar con el crecimiento.

Caries
Por malos hábitos de cepillado o consumo de azúcar, los padres buscan prevención y tratamientos poco invasivos.

Dudas sobre la edad adecuada para la ortodoncia
Muchos no saben cuándo empezar un tratamiento y temen llegar tarde.

Adolescentes preocupados por estética
Evitan sonreír o hablar con naturalidad por la posición de sus dientes pero también les da miedo cómo quedarán si se ponen “aparatos”.

Ayudamos a niños y jóvenes adolescentes a mantener una boca sana y a crecer con una sonrisa impecable y sin complejos.
Con tratamientos indoloros y adaptados a cada edad y con un equipo especializado en niños y adolescentes, la visita al dentista se convierte en una experiencia segura y tranquila para los padres y guay para tus hijos.
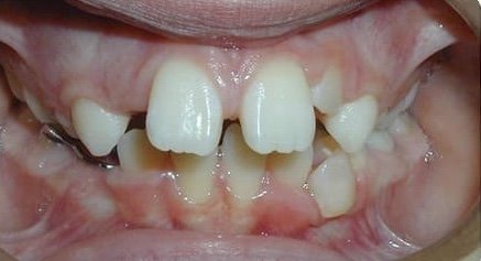
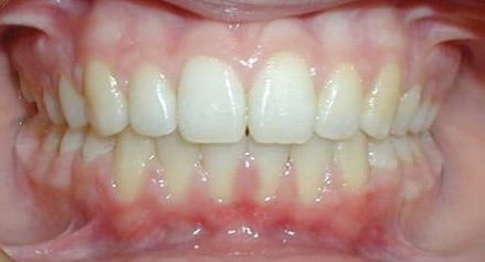
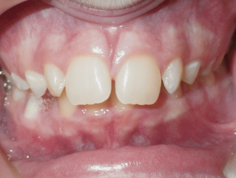
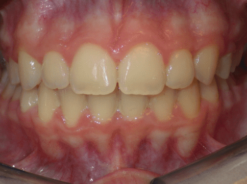
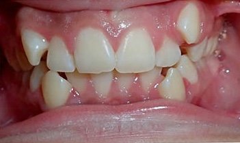
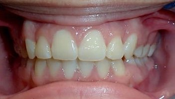
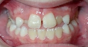
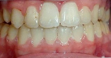
ANTES / DESPUÉS








Beneficios:

Respirar mejor
Tener una boca sana y bien alineada garantiza una mejor respiración para el resto de la vida de tus hijos.

Calma y Relax
Tratamos a los niños con paciencia, explicaciones claras y técnicas que hacen que la visita sea cómoda y sin traumas.

Confianza
Los jóvenes ganan autoestima en su imagen, cosa que les ayudará a conseguir un mejor futuro, tanto personal como profesional.

Ahorro
Una atención temprana evita potenciales problemas de salud además de tratamientos más costosos y complejos cuando crezcan.
¿Por qué nosotros?
Juanmi Moreno jalao2025-08-19Trustindex verifica que la fuente original de la reseña sea Google. Grandes profesionales y grandes personas, muy amables. Siempre con una sonrisa en la cara. 100% recomendables. Triana Cárdenas Jiménez2025-08-19Trustindex verifica que la fuente original de la reseña sea Google. Muy buenos profesionales, un trato inmejorable y muy simpáticos, recomiendo venir sin ninguna duda. Ruben carrera zafra2025-08-19Trustindex verifica que la fuente original de la reseña sea Google. Mi experiencia ha sido muy buena. El servicio ha sido de gran calidad y el trato excelente, me he ido muy contenta. Gracias. Volveré. elena fernandez castillo2025-08-19Trustindex verifica que la fuente original de la reseña sea Google. Son encantadores aparte de grandes personas grandes profesionales hacen su trabajo increíblemente bien , yo desde hace años empece con ellos y hasta día de hoy sigo, son increíbles gracias por todo por atenderme así de bien siempre!!! Yo siempre los elijo a ellos!!! Os lo recomiendo Sara Jimenez Jalao2025-08-19Trustindex verifica que la fuente original de la reseña sea Google. Muy recomendable, puntualidad y profesionalidad impecable. Aunque sin duda me quedo con su simpatía, desde que entras por la puerta hasta que te vas. Irene Carmona2025-08-18Trustindex verifica que la fuente original de la reseña sea Google. Lo recomiendo 100x100 .Super contenta de haber acudido a esta clínica por el trato tan bueno que me dan ,la simpatía de todos,los buenos consejos y la tranquilidad que me dan al estar allí mil gracias por todo pepe luna2025-08-18Trustindex verifica que la fuente original de la reseña sea Google. Pues a mi me a ido fenomenal ..trato exquisito,buen profesional,y súper contento ,el primer día me quitaron todos los dientes de abajo y me pusieron 6 implantes y sin dolor ,,ni una sola alteración en mi cara solo una pequeño hematoma..y si tomar un solo calmante ..super contento..le doy 5 estrellas Macarena PA2025-07-31Trustindex verifica que la fuente original de la reseña sea Google. Estoy muy contenta con el equipo de la clínica. Todo el equipo transmite confianza y se nota que se preocupan por el bienestar del paciente estando atentos a cada detalle. Se nota la pasión con la que trabajan y la tranquilidad que transmiten en cada visita. Los resultados han sido excelentes y, sobre todo, me quedo con la confianza y la seguridad que me han dado. ¡Recomiendo esta clínica sin dudarlo! Javier López2025-07-31Trustindex verifica que la fuente original de la reseña sea Google. Muy contento con la atención recibida en esta clínica. Desde el primer momento me sentí en buenas manos. El personal es muy profesional, amable y siempre están pendientes de que estés cómodo. Maria Pedrosa2025-07-31Trustindex verifica que la fuente original de la reseña sea Google. Mi experiencia ha sido muy buena! Un trato increíble con unos profesionales de primera. Mi caso era complicado y en dos años mis dientes han cambiado completamente y en dos meses seguramente me quitarán todo. Muchísimas gracias.Verificado por: TrustindexLa insignia verificada de Trustindex es el símbolo universal de confianza. Solo las mejores empresas pueden obtener la insignia verificada si tienen una puntuación de revisión superior a 4.5, basada en las reseñas de clientes de los últimos 12 meses. Leer más

Más de 3.500 pacientes atendidos con éxito por el
Dr. Jesús Benítez Alcaide y su equipo de especialistas.
Financiación
Tenemos múltiples opciones de pago cómodo adaptadas a tus necesidades para que puedas mejorar tu sonrisa de una vez por todas.

Preguntas Frecuentes
¿A qué edad debo llevar a mi hijo al dentista por primera vez?
Lo ideal es a partir del primer año o cuando salga el primer diente. Desde entonces, recomendamos revisiones periódicas.
¿Es doloroso para los niños?
No. Usamos técnicas de anestesia local y un enfoque muy cuidadoso para que los pequeños no sientan dolor. Tenemos un equipo de especialistas que se enfoca en los niños y jóvenes y que están acostumbrados a tratar con ellos con cariño.
¿Cómo puedo prevenir caries y otras enfermedades en mis hijos?
Además de una buena higiene en casa, las revisiones periódicas, limpiezas y selladores dentales ayudan a prevenirlas.
¿Cuándo es el mejor momento para la ortodoncia?
Cada niño es diferente, pero solemos recomendar una primera valoración gratuita sin compromiso entre los 7 y 9 años. De esta forma, detectamos problemas a tiempo y podemos ahorrar problemas más grandes en un futuro, un mal trago para tus hijos y tratamientos más costosos.
¿Y si mi hijo tiene miedo al dentista?
Estamos acostumbrados a tratar a niños con miedo. Usamos un lenguaje cercano y empático, explicamos cada paso y creamos un ambiente relajado y familiar para que se sientan seguros.
¿Cuánto duran los tratamientos de ortodoncia en adolescentes?
Depende de cada caso, pero de media entre 12 y 24 meses. Siempre planificamos un calendario claro para que padres e hijos sepan qué esperar.
¿Se notan mucho los aparatos en jóvenes?
Disponemos de opciones discretas como alineadores transparentes, muy demandados entre adolescentes.
¿Qué me garantiza que quedará bien?
Hemos dado servicio a más de 3.500 pacientes y han valorado nuestros servicios con 5 estrellas. Muchos de ellos son familias. Además, te mostramos ejemplos reales de otros pacientes para que sepas qué esperar. Haz clic en el botón para reservar una consulta gratis sin compromiso.