¿Te da vergüenza sonreír o te cuesta comer por falta de dientes?
Recupera tu sonrisa y tu autoestima sin dolor en menos de 4 meses
Problemas habituales de nuestros pacientes:

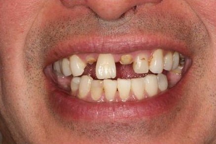
Pérdida de piezas dentales
Han perdido dientes por descuido o miedo al dentista, afectando su capacidad para comer, hablar con confianza y llevar una vida social activa.

Miedo al dolor y al tratamiento
Tienen miedo al dolor, la cirugía y no entienden bien los procesos dentales, lo que les genera ansiedad y retrasa la decisión de tratarse.

Dudas sobre el resultado
Temen invertir dinero y tiempo sin garantías de quedar bien. Quieren seguridad de que serán bien tratados y el resultado superará sus expectativas.

Inseguridad al sonreir
Sienten vergüenza por la estética de su boca, evitan sonreír y se cubren la boca, lo que impacta negativamente en su autoestima diaria.
Ayudamos a personas que no se sienten cómodas con su sonrisa o que han perdido piezas dentales, a recuperar la confianza y a volver a comer bien con un tratamiento indoloro.
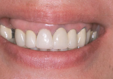
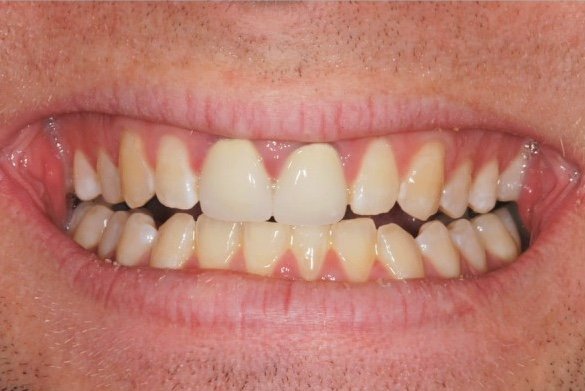
Nuestros implantes y prótesis dentales tienen resultados estéticos visibles desde el primer día, transforman tu salud bucal, tu calidad de vida y tu autoestima en menos de 4 meses*.
*Más de 85% de los nuestros tratamientos los finalizamos en menos de 4 meses. Exceptuando rehabilitaciones completas.
ANTES / DESPUÉS
Beneficios:

Recuperar tu sonrisa
Volverás a sonreír sin vergüenza, mostrando tus dientes con orgullo en cualquier situación, sintiéndote seguro y feliz.

Comer sin molestar
Disfrutarás tus comidas favoritas nuevamente, sin dolor ni molestias, mejorando tu salud y calidad de vida diaria.

Más confianza
Aumentará tu autoestima al verte al espejo, te gustará tu imagen y transmitirás seguridad en cada encuentro social.
¿Por qué nosotros?
Publicado en Juanmi Moreno jalaoTrustindex verifica que la fuente original de la reseña sea Google. Grandes profesionales y grandes personas, muy amables. Siempre con una sonrisa en la cara. 100% recomendables.Publicado en Triana Cárdenas JiménezTrustindex verifica que la fuente original de la reseña sea Google. Muy buenos profesionales, un trato inmejorable y muy simpáticos, recomiendo venir sin ninguna duda.Publicado en Ruben carrera zafraTrustindex verifica que la fuente original de la reseña sea Google. Mi experiencia ha sido muy buena. El servicio ha sido de gran calidad y el trato excelente, me he ido muy contenta. Gracias. Volveré.Publicado en elena fernandez castilloTrustindex verifica que la fuente original de la reseña sea Google. Son encantadores aparte de grandes personas grandes profesionales hacen su trabajo increíblemente bien , yo desde hace años empece con ellos y hasta día de hoy sigo, son increíbles gracias por todo por atenderme así de bien siempre!!! Yo siempre los elijo a ellos!!! Os lo recomiendoPublicado en Sara Jimenez JalaoTrustindex verifica que la fuente original de la reseña sea Google. Muy recomendable, puntualidad y profesionalidad impecable. Aunque sin duda me quedo con su simpatía, desde que entras por la puerta hasta que te vas.Publicado en Irene CarmonaTrustindex verifica que la fuente original de la reseña sea Google. Lo recomiendo 100x100 .Super contenta de haber acudido a esta clínica por el trato tan bueno que me dan ,la simpatía de todos,los buenos consejos y la tranquilidad que me dan al estar allí mil gracias por todoPublicado en pepe lunaTrustindex verifica que la fuente original de la reseña sea Google. Pues a mi me a ido fenomenal ..trato exquisito,buen profesional,y súper contento ,el primer día me quitaron todos los dientes de abajo y me pusieron 6 implantes y sin dolor ,,ni una sola alteración en mi cara solo una pequeño hematoma..y si tomar un solo calmante ..super contento..le doy 5 estrellasPublicado en Macarena PATrustindex verifica que la fuente original de la reseña sea Google. Estoy muy contenta con el equipo de la clínica. Todo el equipo transmite confianza y se nota que se preocupan por el bienestar del paciente estando atentos a cada detalle. Se nota la pasión con la que trabajan y la tranquilidad que transmiten en cada visita. Los resultados han sido excelentes y, sobre todo, me quedo con la confianza y la seguridad que me han dado. ¡Recomiendo esta clínica sin dudarlo!Publicado en Javier LópezTrustindex verifica que la fuente original de la reseña sea Google. Muy contento con la atención recibida en esta clínica. Desde el primer momento me sentí en buenas manos. El personal es muy profesional, amable y siempre están pendientes de que estés cómodo.Publicado en Maria PedrosaTrustindex verifica que la fuente original de la reseña sea Google. Mi experiencia ha sido muy buena! Un trato increíble con unos profesionales de primera. Mi caso era complicado y en dos años mis dientes han cambiado completamente y en dos meses seguramente me quitarán todo. Muchísimas gracias.Verificado por: TrustindexLa insignia verificada de Trustindex es el símbolo universal de confianza. Solo las mejores empresas pueden obtener la insignia verificada si tienen una puntuación de revisión superior a 4.5, basada en las reseñas de clientes de los últimos 12 meses. Leer más
Más de 3.500 pacientes atendidos con éxito por el
Dr. Jesús Benítez Alcaide y su equipo de especialistas.
Financiación
Tenemos múltiples opciones de pago cómodo adaptadas a tus necesidades para que puedas mejorar tu sonrisa de una vez por todas.
Preguntas Frecuentes
¿Duele ponerse un implante o una prótesis?
No. Utilizamos técnicas avanzadas de anestesia para que no sientas dolor en ninguna parte del procedimiento. Después, tal vez puedes notar una ligera molestia, pero suele ser mínima y muy controlable.
¿Cuándo voy a ver resultados?
Desde el primer día. El mismo día de la cirugía colocamos una prótesis provisional estética, así que notarás el cambio desde el primer momento, tanto en tu sonrisa como en tu autoestima.
¿Cuánto dura el tratamiento completo?
Cada caso es personalizado, pero de media, de 3 a 6 meses puedes tener tu sonrisa impecable. Lo mejor es que desde el primer día sales con una prótesis provisional para que tengas tus dientes hasta tener el resultado final.
¿Puedo financiar el tratamiento?
Sí, ofrecemos opciones de financiación adaptadas a ti. Queremos que para recuperar tu sonrisa puedas hacerlo cómodamente. Contacta con nosotros haciendo clic para ver tu caso en detalle y encontrar juntos la mejor opción para ti.
¿Y si algo no se fija bien o falla?
Nos encargamos del seguimiento completo del tratamiento. Te acompañamos en todo el proceso, para que, si algo no evoluciona como esperábamos, solucionarlo de inmediato. Aquí no te dejamos solo.
¿Tendré que venir muchas veces a la clínica?
No. Hemos optimizado el proceso para reducir las visitas al mínimo necesario. En muchos casos, con 3 o 4 citas es suficiente para completar todo el tratamiento.
Tengo miedo al dentista, ¿cómo me ayudáis con eso?
Te entendemos. Muchos de nuestros pacientes vienen con ese mismo miedo. Aquí el trato es cercano, humano y sin prisas. Nos adaptamos a ti, te explicamos cada paso y resolvemos tus dudas para que te sientas seguro. Te invitamos a reservar la consulta gratuita en el botón y que puedas ver si encajamos con lo que necesitas.
¿Qué me garantiza que quedará bien?
Hemos dado servicio a más de 3.500 pacientes y han valorado nuestros servicios con 5 estrellas. Realizamos un estudio detallado de tu caso y una planificación del resultado final. Además, te mostramos ejemplos reales de otros pacientes para que sepas qué esperar. Haz clic en el botón para reservar una consulta gratis sin compromiso.